Zhejiang University has launched an advanced AI pathology assistant named OmniPT, which incorporates vision and language models to facilitate human-computer interaction. Currently deployed at the First Affiliated Hospital of Zhejiang University in Hangzhou, OmniPT focuses on diagnosing prevalent cancers such as gastric, colorectal, and cervical. This hospital is the first in China to adopt an AI pathology assistant.
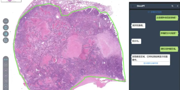
OmniPT has made notable advancements in lab tests, excelling in cancer classification, grading, identifying vascular and neural invasion, and detecting markers that predict disease progression. The system’s analyses and predictions have achieved an 80 to 90 percent accuracy rate across various cancer types, according to the hospital.
Pathology examinations, involving the analysis of biological samples, are typically performed in labs with little direct interaction between pathologists and patients. Pathologists play a crucial role in accurately diagnosing diseases, but China faces a significant shortage of these professionals.
“While many are aware of the shortage of pediatricians, the scarcity of pathologists is even more severe,” said Zhang Jing, chair of the pathology department and vice president of the hospital’s Yuhang branch. China needs 150,000 to 200,000 pathologists, yet there are only about 30,000 officially registered professionals, he explained.
This shortage is further exacerbated by regional disparities, with urban areas like Beijing and Shanghai relatively better equipped compared to remote regions. The lengthy training period for pathologists also contributes to the deficit, leaving many young professionals with insufficient experience.
To address these challenges, OmniPT was developed by Professor Song Mingli’s team at Zhejiang University in collaboration with the hospital. The AI tool accelerates clinical diagnosis by taking over repetitive tasks, allowing pathologists to focus on critical decisions, thus improving diagnostic efficiency and quality.
OmniPT assists in tasks such as counting mitosis, a key diagnostic process for gliomas (brain or spinal cord tumors). Traditionally, this procedure can take 30 minutes to an hour per slide, but OmniPT completes it in under 10 seconds, offering detailed computational analysis while leaving uncertain cases for pathologists’ final judgment.
Song’s team designed OmniPT to address specific clinical needs, improving efficiency in analyzing pathology slides and minimizing the likelihood of errors caused by fatigue. The system handles over 90 percent of repetitive tasks, enabling pathologists to concentrate on more nuanced evaluations.
“OmniPT doesn’t replace us; it supports us. With AI’s assistance, we can tackle complex pathology challenges, especially in underserved areas or with less experienced professionals. It reduces costs, boosts efficiency, and helps us avoid mistakes,” Zhang emphasized.
Related Posts















